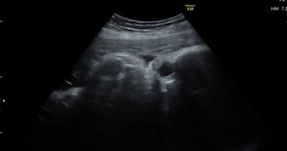
エコー
最近 、エコーで お顔を見ると
子宮の壁に 顔を押し付けてて 、
顔がぐちゃってなってて 心配になる 🤭 💬

おっきくなって だいぶスペースが
無くなってきてるんだろうなぁ 。
4Dでみても 、顔がよく分からないくらいに
窮屈そうにしてるけど 大丈夫なのかな ? 🤥
そして 最近 、暇な時間を見つけては
エコーあるばむを 製作中 。✍🏻
毎回もらうエコー写真
キレイに 残しておきたくて ❤︎
その時の赤ちゃんのようすや
私の気持ちも 書いてるんだけど 、
振り返ると ほんとこの10ヶ月間
色々あったなぁ 。。って 💭
生まれてからは もっと色んなことが
待ってるんだろうな ❤︎
楽しみだっ 😌
ママ 、プレママ におすすめの
無料アプリ ❤︎ ママリ

Instagram
